
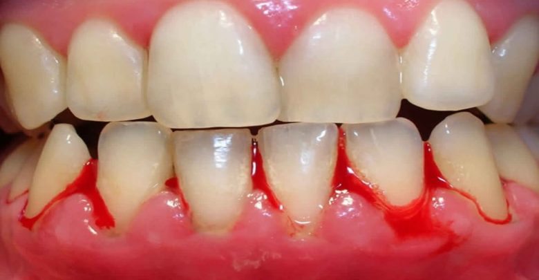
الأسباب المحتملة لنزيف اللثة
حرير- تشير طبيبة الأسنان فكتوريا كنيس أخصائية أمراض اللثة، إلى أن نزيف اللثة حالة شائعة إلى حد ما ويمكن أن يحدث لدى الصغار والكبار على حد سواء.
ووفقا لها، يمكن أن تشمل أسباب نزيف اللثة: سوء نظافة الفم، وإصابات الغشاء المخاطي للفم؛ الآثار الجانبية للأدوية (مثل مميعات الدم)؛ أمراض المناعة الذاتية المصحوبة باستخدام طويل الأمد للأدوية التي تضعف منظومة المناعة؛ نقص العناصر المغذية (نقص فيتامين سي)؛ التغيرات الهرمونية (الحمل، البلوغ عند المراهقين أو انقطاع الطمث عند النساء).
وتقول: “يحافظ تنظيف الأسنان بالفرشاة بشكل منتظم واستخدام منتجات النظافة الإضافية على توازن صحي للبكتيريا. ولكن قد يؤدي عدم نظافة الفم بالمستوى المطلوب، إلى انتشار مفرط للبكتيريا الضارة، ما يسبب شكاوى، مثل رائحة الفم الكريهة ونزيف اللثة”.
وتشير الطبيبة، إلى أن السموم التي تنتجها البكتيريا كفضلات يمكن أن تسبب نزيف اللثة، لأن تراكمها على الأسنان مع بقايا الطعام تشكل ترسبات جيرية تكون في البداية رخوة، ولكن عند عدم إزالتها تتصلب وتسبب التهاب اللثة. وفي أسوأ الحالات تسبب فقدان الأسنان. لذلك يجب في حالة نزيف اللثة استشارة الطبيب لتحديد السبب وعلاجه.
وبالإضافة إلى ذلك يمكن أن تسبب إصابة الغشاء المخاطي نزيف اللثة أيضا، ويمكن أن يكون السبب استخدام فرشاة قاسية لتنظيف الأسنان أو حتى استخدام الخيط بصورة غير صحيحة. كما أن تناول الطعام الساخن يسبب حروقا في الغشاء المخاطي للفم؛ وتركيب طقم الأسنان بشكل غير صحيح يسبب صدمة ميكانيكية للغشاء المخاطي. ويجب الاهتمام بجودة الحشوات، لأن عدم توافقها مع السن قد يسبب التهاب ونزيف في اللثة.
وتشير الطبيبة، إلى أن نزيف اللثة يحدث أيضا في حالات اضطراب تخثر الدم والنوع الثاني من داء السكري والإصابة بعدوى فيروس نقص المناعة البشرية.



